Allgemeines:
Beim Knochenmarkausstrich handelt es sich um ein zytologisches Präparat, welches durch Punktion und Aspiration gewonnen wird. Dies im Gegensatz zur Knochenmarkbiopsie, die ein histologisches Präparat ist und bei der ein Knochenmarkzylinder gewonnen wird. Bei zytologischen Präparaten ist die normale Gewebsstruktur nicht vorhanden und viele Zellen sind durch das Ausstreichen lädiert. Dafür sind die charakteristischen Merkmale der verschiedenen Zellarten besser zu erkennen.
Beurteilung:

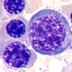
Zuerst wird das Knochenmark bei 100-facher Vergrösserung betrachtet (10er Okkular). Hier kann der Zellgehalt des Knochenmarks erfasst werden. Die Zellularität ist altersabhängig und kann als grobe Faustregel als 100% minus Alter berechnet werden. Der Rest besteht aus Fettvakuolen. Weiter lassen sich lokale Zellansammlungen, z.B. Lymphfollikel erkennen. Die dunklen Haufen entsprechen Knochenmarkbröckeln. Die Megakaryozyten sind schon bei dieser Vergrösserung erkennbar (gelbe Kreise).

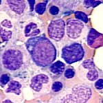
Bei 400-facher Vergrösserung sind die meisten Zellen identifizierbar. Normalerweise bietet sich ein buntes Bild. Das Verhältnis Myelopoiese (genauer Granulopoiese) zu Erythropoiese beträgt rund 3-4 zu 1. In den Knochenmarkbröckeln sind die Zellen sehr dicht gelagert und darum nicht beurteilbar. Einzig die Mastzellen (Gewebsbasophile) stechen als dunkle Flecken hervor.

Bei 1000-facher Vergrösserung lassen sich die Merkmale der einzelnen Zelltypen gut erkennen. Lädierte Zellen dürfen nicht beurteilt werden, auch wenn sich der Zelltyp noch erahnen lässt.
Abklatsch:

Nicht immer kann bei einer Punktion Knochenmark aspiriert werden (Punctio sicca). In solchen Fällen macht man ein Abklatschpräparat, d.h. man zieht den mittels Biopsienadel gewonnen Knochenmarkzylinder über einen Objektträger. Dieses so genannte Abklatschpräparat ist einem Aspirationspräparat nicht gleichwertig, ermöglicht aber trotzdem oft eine genügende bis gute zytologische Beurteilung.
Eisengehalt:

In speziell gefärbten Knochenmarkausstrichen (z.B. Berlinerblaureaktion) kann der Eisengehalt bestimmt werden.
Lymphfollikel:

Das Knochenmark gehört auch zu den lymphatischen Organen. So ist es einerseits Ort der primären Lymphopoiese und andererseits Ort der Ausreifung der B-Zell-Vorläufer. Meist sind die Lymphozyten und Plasmazellen gleichmässig über das Knochenmark verteilt. Es können aber auch dichte Haufen kleiner Lymphozyten beobachtet werden, die (ausgestrichenen) Lymphfollikeln entsprechen.